鲜红斑痣怎样治疗可以快速消退“红斑”,选激光治疗需要多少次?专家为你全面解析
更新时间:2026-03-15 13:13:48 点击量:
鲜红斑痣,这个听起来有些陌生的医学名词,却可能出现在我们身边不少人的皮肤上。
它并非普通的 “胎记”,而是一种常见的先天性毛细血管畸形,若不及时干预,可能伴随患者一生并出现结节或增生等问题。
今天希望通过这篇科普,带大家全面认识鲜红斑痣,走出认知误区。
鲜红斑痣,医学又称 “葡萄酒色斑”,是由于胚胎发育时期血管内皮细胞异常增殖或血管结构异常所致,是一种终身不会自行消失的血管病变,发病率约为0.3%-0.5%,在新生儿中较为常见。
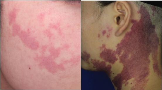
鲜红斑痣的典型表现为淡红色、暗红色或紫红色的斑片,颜色会随年龄增长逐渐加深,甚至变为紫黑色。
它可出现在身体任何部位,其中面部、颈部、头皮是高发区域,面积大小不一,最大可以覆盖半侧身体。

需要特别注意的是,鲜红斑痣不会随时间推移而淡化,反而会因血管壁增厚、血管扩张等因素,在成年后可能出现皮肤增厚、结节状凸起,甚至伴随出血、感染等并发症,严重影响患者的外观和生活质量。
鲜红斑痣的诊断主要依靠临床表现和专业检查,一般通过皮肤科医生的面诊即可初步判断,但为了明确病情、排除其他类似疾病,还需结合以下检查手段:
影像学检查
(1)皮肤镜检查:这是诊断鲜红斑痣的常用手段。皮肤镜可放大皮肤表面及皮下结构,清晰显示鲜红斑痣区域的毛细血管扩张情况,如血管管径大小、分布密度等,有助于医生判断病情严重程度,为后续治疗方案的制定提供依据。
(2)超声检查:对于面积较大或位置较深的鲜红斑痣,医生可能会建议进行超声检查,以了解皮下血管的分布、深度及是否存在其他组织异常。

鲜红斑痣的治疗原则是 “早发现、早治疗”,早期能有效避免成年后出现皮肤增厚、结节等并发症,疗效更佳。目前,临床上治疗鲜红斑痣的方法主要有以下几种:
1、激光治疗
激光治疗是目前治疗鲜红斑痣最有效、最常用的方法,激光治疗的黄金时期为婴幼儿期(一般建议 1 - 3 岁,最好1岁前开始),此时患者皮肤较薄,血管畸形程度较轻,治疗效果更好。
激光治疗通常需要多次进行,治疗间隔为 1 - 3 个月,具体治疗次数取决于鲜红斑痣的面积、颜色深浅、患者年龄等因素。
一般来说,婴幼儿患者治疗次数较少(5 - 8 次),成年患者治疗次数较多(8 - 15 次)。
常用的激光类型包括:脉冲染料激光(PDL)、强脉冲光(IPL)和长脉冲 Nd:YAG 激光,其中595nm波长的PDL这是治疗鲜红斑痣的一线激光设备。

2、光动力治疗
光动力治疗是一种新型的治疗方法,适用于对激光治疗效果不佳或病情较为严重的鲜红斑痣患者。
光动力治疗的优势在于能作用于较深的血管,治疗效果较好,且对皮肤的损伤较小,术后恢复较快。
但该方法也需要多次治疗且存在一定的不良反应,如治疗后皮肤可能出现红肿、疼痛,需做好冷敷,且治疗后需严格避光(避免光敏反应)。

3、其他治疗方法
手术治疗:如皮肤移植、扩张器治疗,仅适用于鲜红斑痣合并皮肤严重增厚、结节状凸起或出血感染的患者,且手术风险较高,术后可能留下瘢痕,因此不作为常规治疗方法。
鲜红斑痣虽然是一种终身性疾病,但只要我们正确认识它,选择科学的治疗方法,并做好日常护理,就能有效控制病情,改善外观。
需要提醒的是无论是激光还是光动力,鲜红斑痣的治疗均需要多次,由于病变区域的血管分布不同、深度不同,一次治疗只能破坏部分异常血管,需要多次治疗才能逐渐清除所有异常血管。
总而言之,患友应遵医嘱完成整个治疗疗程,不要半途而废。

